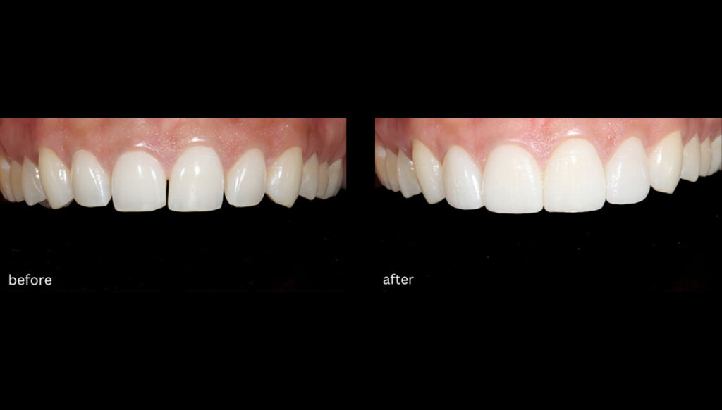
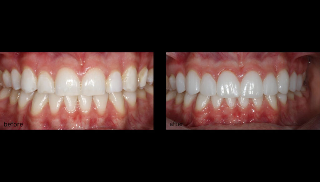
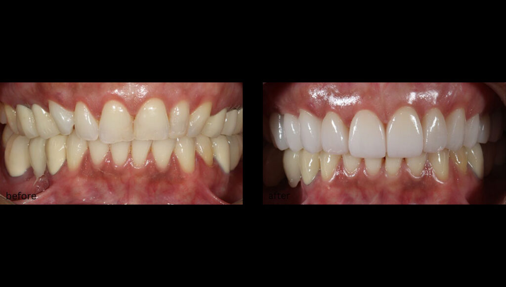
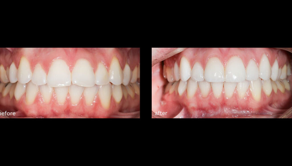
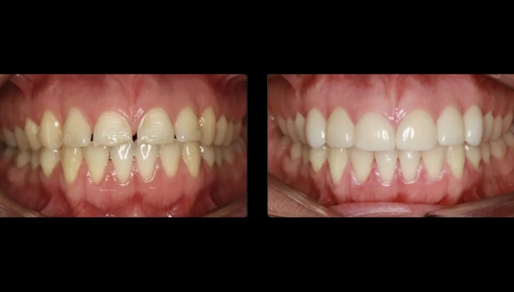
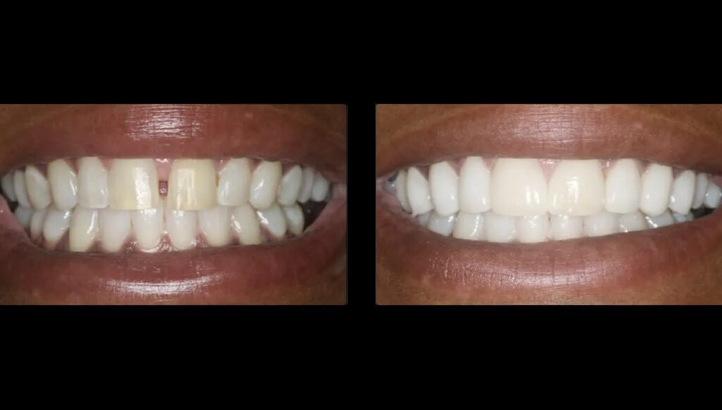
The best way to gauge the skill of a cosmetic dentist is to see his or her previous work for yourself. Browse the gallery below to see a sampling of veneer patients treated by Dr. Matian and the results he was able to achieve for them.
Veneers 13
6 veneers to close spaces – natural shade













































